側弯症・姿勢のゆがみ

側弯症

「背骨が曲がっていると言われた」「肩や骨盤の高さが違う」——
レントゲンの見た目だけでなく、日常でどこに負担が集まっているかを確認しながら、動きやすい体づくりを一緒に考えます。

こんなお悩みはありませんか?

肩の高さや骨盤の傾きが左右で違うと言われた

背中や腰の片側だけが張りやすい

立ち姿勢や歩き方の左右差が気になる

側弯症と診断され、何に気をつければよいか分からない

姿勢を正そうとしてもすぐ疲れてしまう

ご相談から施術までのイメージ

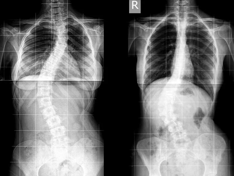
側弯症の背骨レントゲン画像

背骨のカーブと体の使い方を整理します

レントゲン上の曲がりだけでなく、痛みや張りが出る姿勢、動きの左右差を確認しながら進めます。

整体院ひざこぞう カウンセリング・問診の様子

最初に状態や経過を確認します

診断内容や経過、痛みの範囲を確認しながら、必要に応じて医療機関との使い分けもお伝えします。

整体院ひざこぞう 待合スペースから見た院内の様子

落ち着いて相談しやすい環境です

症状が長引いて不安を感じる方にも、あわてず整理してお話しいただけるよう落ち着いた環境を大切にしています。

側弯症で負担が出やすくなる理由

側弯症では、背骨のカーブそのものだけでなく、肩甲骨、肋骨、骨盤、股関節の動きの左右差が重なり、腰や背中、首肩の一部に負担が集まりやすくなります。

曲がりを無理に真っすぐにするのではなく、今の体でどこが頑張りすぎているか、どこが使いにくくなっているかを整理することが大切です。

側弯症による姿勢の左右差を示すイメージ

左右差が強くなりやすい流れ

1

背骨や肋骨、骨盤まわりの動きに左右差が出る

2

片側の腰や背中が頑張り続ける

3

体幹の支えが弱くなり姿勢保持が疲れやすい

痛みや張り、動きづらさが出やすくなる

姿勢を固めてしまう負の連鎖

ゆがみが気になる体を固める左右差が強まるさらに疲れやすくなる

✦ ポイント

側弯症は見た目の曲がりだけで判断せず、痛み、呼吸、歩き方、体幹の安定性を合わせて見ることが大切です。無理に伸ばすより、負担の偏りを減らすことを優先します。

相談の目安

原因を知るだけでなく、今の状態に合う進め方を確認しませんか?

痛み方や生活で困っている場面は人によって違います。読みながら「自分も近いかも」と感じた方は、来院前にLINEで状況を送っていただいて大丈夫です。

当院の側弯症へのアプローチ

背骨だけでなく肋骨、骨盤、股関節の動きを整え、左右差による負担を減らす3ステップで改善を目指します

側弯症の背骨レントゲン画像
1 STEP
可動性の回復

背中・腰・股関節のガンバリ筋をほぐす

片側だけに負担が集まりやすい背中、腰、股関節まわりの筋肉を手技でゆるめます。痛みや張りが強いところだけでなく、反対側の使いにくさも確認します。

2 STEP
安定性の再獲得

腹部インナーマッスルを再稼働して姿勢を支える

腹横筋などのインナーマッスルを使いやすくし、背骨だけで姿勢を保とうとする負担を減らします。仰向けや四つ這いなど安全な姿勢から始めます。

3 STEP
動作の定着

左右差を減らす動きを日常に定着させる

立ち方、座り方、歩き方、呼吸のしやすさを確認し、日常で負担が偏りにくい動きを練習します。姿勢を固めるのではなく、動ける余裕を作ります。

通院頻度の目安

最初の1〜2ヶ月は週1回程度のペースを目安に、痛みや張り、動きやすさの変化を確認しながら進めます。成長期の急な変化や強い痛みがある場合は、医療機関での確認を優先します。

最初の1〜2ヶ月:週1回程度
安定後:2週に1回
メンテナンス期:月1回

側弯症に関するよくあるご質問

Q. 側弯症は整体で真っすぐになりますか?
A.

背骨のカーブそのものを手技で完全に真っすぐにすることはできません。ただし、筋肉や関節の負担の偏りを減らし、痛みや張り、動きづらさを軽くするサポートは可能です。

Q. レントゲンで側弯症と言われました。整体を受けても大丈夫ですか?
A.

強い痛み、しびれ、急な変化、成長期で進行が心配な場合は医療機関での確認が優先です。状態を確認したうえで、無理のない施術と運動療法を行います。

Q. 姿勢を正すために強く伸ばした方がいいですか?
A.

強く伸ばして無理に真っすぐにしようとすると、かえって力みが増えることがあります。呼吸や体幹の支えを使いながら、楽に保てる姿勢を少しずつ作ります。

側弯症でお悩みの方へ

「自分の症状は良くなるのだろうか」「どんな施術をされるのか不安」——
そう思っている方こそ、まずはお気軽にご相談ください。
初回のカウンセリングで、あなたの状態を丁寧に確認したうえで、施術方針をご提案します。

柏市をはじめ、松戸市・我孫子市・取手市・野田市・流山市・守谷市など近隣エリアからもご来院いただいています。

トップページに戻る
電話予約
タップで発信
LINE相談
24時間受付